Sieć domyślna mózgu – to ona odpowiada za Twoje i moje też poczucie JA

Możliwe, że poczucie JA to jedynie dynamiczny, w dużej mierze iluzoryczny konstrukt neuronalny.
.get_the_title().

Default Mode Network (DMN), czyli tzw. sieć stanu domyślnego, to jedno z najbardziej intrygujących odkryć współczesnej neurologii. To zespół połączeń neuronowych, który aktywuje się, gdy człowiek nie wykonuje żadnego konkretnego zadania zewnętrznego – czyli w stanie spoczynku umysłowym. Zamiast wyciszenia, mózg wówczas wcale nie przestaje pracować – wręcz przeciwnie, intensywnie zajmuje się analizowaniem, planowaniem, przypominaniem sobie wydarzeń z przeszłości oraz konstruowaniem narracji o samym sobie.

To właśnie ta aktywność wiąże się z wewnętrznym monologiem i poczuciem tożsamości, które utożsamiamy z ego.

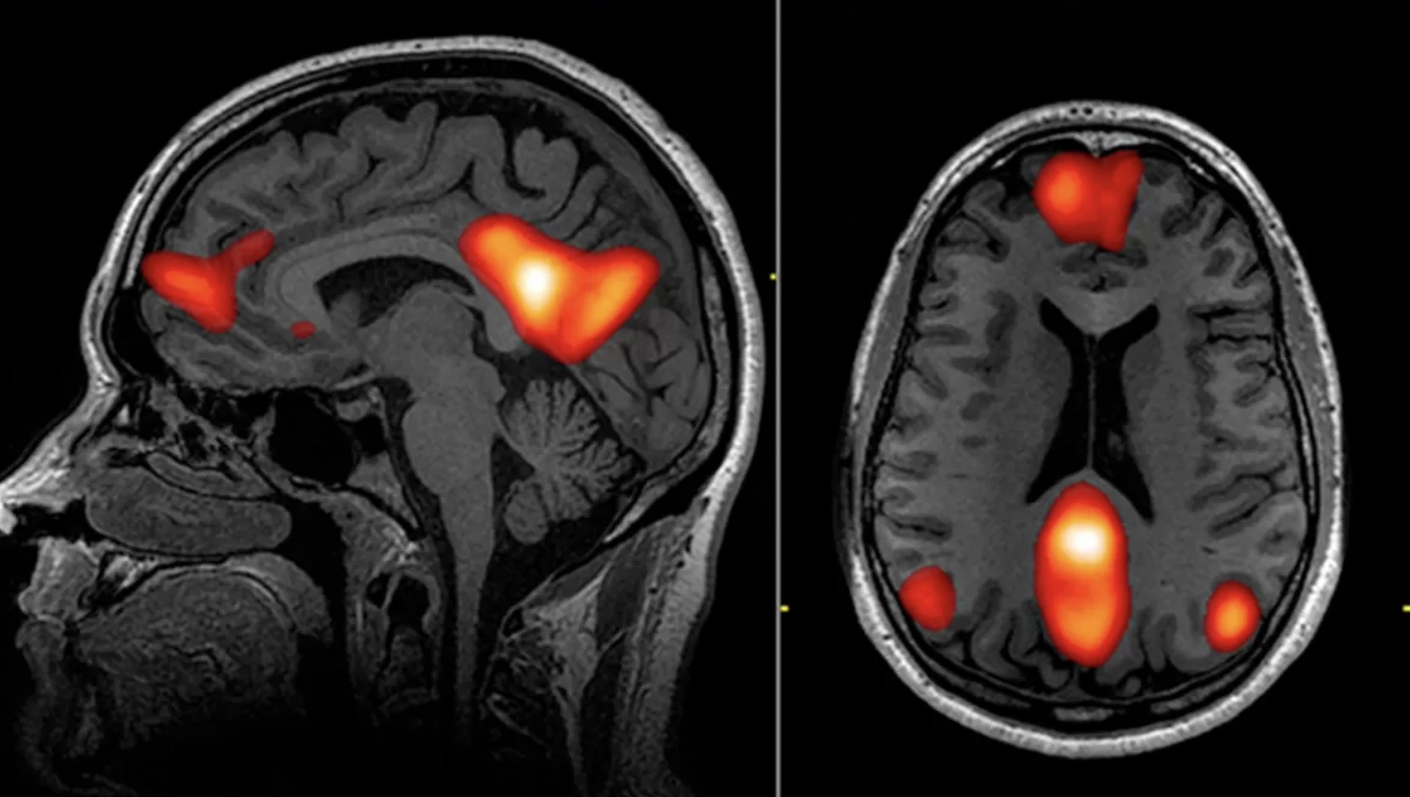
DMN obejmuje kilka kluczowych obszarów mózgu, w tym przyśrodkową korę przedczołową, tylną część zakrętu obręczy oraz okolice kory ciemieniowej. To w tej sieci zachodzą procesy autorefleksji, myślenia o sobie, analizowania relacji społecznych oraz snucia fantazji i symulacji przyszłości. Choć ta funkcja jest niezbędna dla budowania spójnego obrazu siebie i orientacji w świecie społecznym, to jej nadaktywność może prowadzić do patologicznego zamknięcia się w myślach, nadmiernej ruminacji, stanów depresyjnych i lękowych. Ciekawym zjawiskiem jest fakt, że aktywność DMN ulega istotnemu osłabieniu w określonych warunkach, co prowadzi do zmniejszenia poczucia „ja” i osłabienia granic ego. Takie zjawisko obserwuje się m.in. podczas medytacji, w stanie głębokiego skupienia (flow), a także w wyniku stosowania niektórych substancji psychodelicznych, takich jak psylocybina (z grzybów halucynogennych), LSD, DMT czy ketamina.

W badaniach z użyciem funkcjonalnego rezonansu magnetycznego (fMRI) wykazano, że pod wpływem psylocybiny aktywność DMN znacząco spada.

To przekłada się na doświadczenie tzw. rozpuszczenia ego (ego dissolution), czyli poczucia jedności z otoczeniem, zaniku granicy między „ja” a światem zewnętrznym, a niekiedy również uczucia duchowego uniesienia. Podobne efekty obserwuje się u doświadczonych medytujących, szczególnie w tradycjach kontemplacyjnych takich jak buddyzm Zen czy vipassana. Oprócz psychodelików i medytacji, do czynników wpływających na osłabienie DMN zalicza się również: praktyki mindfulness, modlitwę kontemplacyjną, głębokie doświadczenia estetyczne (np. kontakt ze sztuką lub naturą), a także pewne stany neurologiczne, jak np. śpiączka lub stany bliskie śmierci.

Wspólnym mianownikiem jest chwilowe zawieszenie zwykłego, narracyjnego myślenia o sobie – co daje efekt rozszerzonej świadomości lub intensywnego „tu i teraz”.

Zrozumienie roli DMN to krok milowy w poznaniu mechanizmów świadomości i poczucia tożsamości. Dzięki badaniom nad tą siecią odkrywamy, że „ja” wcale nie musi być trwałym, niezmiennym bytem – może być dynamicznym, w dużej mierze iluzorycznym konstruktem neuronalnym, który można modyfikować, rozpuszczać lub nawet chwilowo „wyłączać”. To rzuca nowe światło na praktyki duchowe, terapeutyczne i egzystencjalne, które dążą nie do umacniania ego, lecz do jego świadomego przekroczenia.

NAUKA